Am 10. Mai wird heute dem Schlaganfall besonders Aufmerksamkeit geschenkt.
Deshalb möchte ich nicht nur meine eigene Geschichte teilen, sondern auch Bewusstsein für die Herausforderungen schaffen, mit denen viele Betroffene täglich konfrontiert sind.
Die Reise zurück ins Leben
Im März 2021, nach einer schweren COVID-19-Infektion, wurde bei mir ein Schlaganfall diagnostiziert, der mein Sprachzentrum betraf. Monatelang spürte ich, dass etwas nicht stimmte – ich war kraftlos, sprach langsam, verdrehte Wörter und Buchstaben, hatte Schwierigkeiten, mich an Namen zu erinnern, konnte nicht klar denken, etc. .
Trotz dieser Symptome kam mir nie der Gedanke an einen Schlaganfall, besonders da die Ärzte während des Lockdowns nur sehr schwer erreichbar waren.
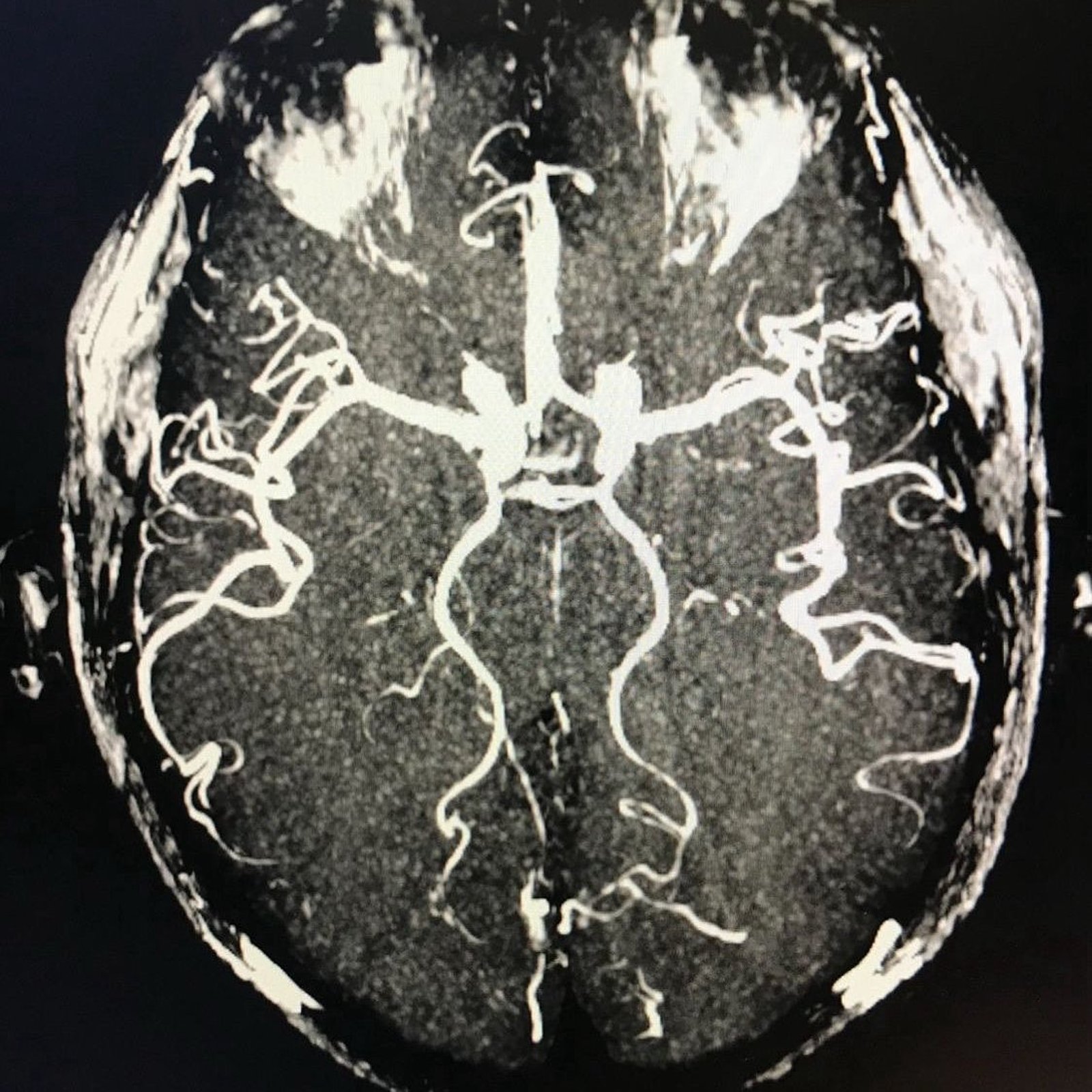
Die Diagnose brachte dann endlich Klarheit. Glücklicherweise zeigten die Untersuchungen meiner Blutgefäße (s.Bild), dass sie frei von Plaques waren, was mir eine große Erleichterung und Hoffnung für die Zukunft gab. Mein Neurologe ermutigte mich eindringlich, ohne Angst an die Genesung zu denken und positiv nach vorne zu blicken.
Heute, am Tag des Schlaganfalls, denke ich daran zurück und an all jene, denen es noch immer nicht gut geht und die viele körperliche Einschränkungen haben. In meiner Arbeit im Bereich der Regeneration und Schmerzreduktion durfte ich schon einigen Schlaganfallpatienten helfen – selbst Jahre nach ihrem Ereignis.
Die Selbstheilungskräfte des Körpers können oft "wiedererweckt" werden, und es ist wichtig zu verstehen, dass es nie zu spät für Verbesserungen ist.
Lasst uns dieses Wissen nutzen, um das Bewusstsein zu schärfen und Hoffnung zu verbreiten. Die Reise mag lang sein, aber sie ist nicht vorbei.

Jetzt Selbstheilungskräfte wecken
„Erfahre, wie du selbst aktiv deine Gesundheit stärkst und vereinbare jetzt deinen persönlichen Termin.“
Weitere Wege, um mich zu erreichen:
Entdecken – Erleben – Wohlfühlen:
Neugierig geworden? Entdecken Sie jetzt, wie Sie Körper und Geist in Einklang bringen können.
